Dental Smile Gallery – Boston, MA
Our Expert Work Revealed
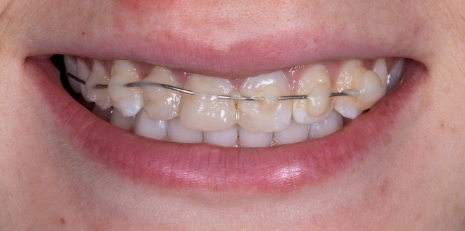
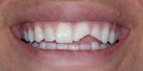
Smiles transformed with the help of dental implants, full mouth rehabilitation, dental veneers, dental crowns, and cosmetic and restorative treatment are just some of the examples you can expect to see as part of our dental smile gallery. Using scientific, data-driven solutions, our doctors continue to build, repair, and restore smiles so that patients walk away with a new outlook on life.
More to Explore
About Us Meet the Dentists Meet the Team Tour Our Office Research Articles Dental Technology View Our Services